


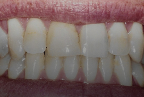
Experience a beautiful, seamless, natural-looking smile while preserving your natural tooth structure and enamel.
Bioclear is a revolutionary approach to cosmetic and restorative dentistry. Unlike conventional bonding techniques, which may lack durability and aesthetic appeal, Bioclear creates a smooth, contoured finish that mimics the natural appearance of teeth. The treatment involves using a translucent mold (matrix) to shape composite resin around the tooth, resulting in a seamless and natural-looking restoration.
The Bioclear Method is an approach to cosmetic and restorative dentistry that is used in lieu of traditional fillings, bonding, or veneers. Bioclear lasts longer than traditional composites. It looks better too, with a more natural and seamless finish.
It is stronger and longer lasting
Traditional composite restorations are layered, while Bioclear restorations are monolithic— making them stronger,
more durable, and structurally sound. With proper care, Bioclear restorations can last 15–20 years or longer.
It looks natural, youthful, and healthy
Traditional restorations end at the gumline, often creating ridgelines that over time can irritate and inflame the gums. Bioclear restorations start below the gumline. Bioclear restorations are finished with the “Rock Star Polish.” The polishing is done wet, using water and a special slurry, keeping the temperature down and thus maintaining the integrity of the restoration. And the polishing mix itself is made of a safe, food-grade pumice. The polishing sequence creates a shiny finish while maintaining the integrity of the restoration.
It conserves more of your natural tooth structure
Preparations refer to the process of readying a tooth (or teeth) for restoration. With Bioclear, only the unhealthy tooth structure is removed—meaning more of your natural, healthy tooth is preserved.
1. Consultation
Your dentist will discuss your dental needs and determine whether Bioclear is the right solution to restore your tooth and enhance your smile.
2. Preparation:
A special solution highlights any buildup on the teeth, which is then gently removed with an ultra-fine powder spray. This ensures a clean surface for the restoration.
3. application
A clear matrix is placed just under the gumline to guide the shape of the restoration. The tooth surface is lightly etched, and warmed composite material is carefully flowed into the matrix for a seamless fit.
4. curing
The composite is hardened to create a strong, long-lasting bond with the tooth.
5. finishing touches
The matrix is removed, and the restoration is skillfully shaped and polished for a smooth, natural-looking finish that blends beautifully with your smile.
How does Bioclear® Work?
Bioclear® works by selectively removing diseased portions of teeth and injecting composite with compression, eliminating the need for shaving down teeth that is required for installing crowns.
Does Bioclear® work for everyone?
Bioclear® could be an alternative to crowning, however, it varies person to person. Let me evaluate your situation to see if Bioclear® is a good fit for you!
Why should I get Bioclear instead of a traditional crown?
Most dentists have been trained to do crowns to protect a cracked tooth. Crowns require the dentist to remove 76% of the top of the tooth, leaving a nub. A crown procedure reduces the size of the tooth until it's small enough to sit under a shell of porcelain that serves to hold the cracked sections of the tooth together
What's the difference between Bioclear and a traditional filling?
Traditional fillings go “in” the tooth, which can eventually lead to a cracked tooth. Bioclear goes “around” the tooth with a combination of engineered cavity preparations and the patented Bioclear Method.
A dentist told me I need to get a crown for my cracked tooth.
Can I get a Bioclear Overlay instead?
Many teeth we would have previously crowned can now be treated with an overlay. With a quick photo and x-ray we can tell you if your tooth is a candidate for an overlay instead of a crown.
Is Bioclear covered by insurance?
Bioclear is not covered by insurance. Dr. Vann will provide you with an estimate that reflects the complexity and number of teeth involved in your case.
Why doesn’t every doctor use Bioclear?
The Bioclear Method is gaining in popularity and is now being taught in several dental schools. Major changes in dentistry and medicine often take many years to reach all doctors. It also takes passion and dedication to become a Bioclear provider. Bioclear certified doctors and their assistants complete extensive training and studies through a Bioclear Learning Center.
how does Bioclear compare to Crowns and Veneers?
Lorem Ipsum
what are some of the key benefits of bioclear
Lorem Ipsum

We can't wait to meet you! Please call 415-239-2740 or use the button below to schedule an appointment.